Skip to main content Skip to navigation
Purified Rat Anti-Human Cutaneous Lymphocyte Antigen
74901E_550407_image1.png

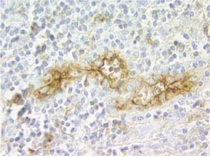
Immunohistochemical staining of endothelial cells with CLA. Frozen section of human tonsil was stained with Purified Rat Anti-Human Cutaneous Lymphocyte Antigen (Cat. No. 550407) antibody. Endothelial cells of the high endothelial vessels can be identified by the intense brown labeling of their cell surface membranes. Amplification 40x.

Immunohistochemical staining of endothelial cells with CLA. Frozen section of human tonsil was stained with Purified Rat Anti-Human Cutaneous Lymphocyte Antigen (Cat. No. 550407) antibody. Endothelial cells of the high endothelial vessels can be identified by the intense brown labeling of their cell surface membranes. Amplification 40x.

製品詳細
Down Arrow Up Arrow


BD Pharmingen™
CLA; PSGL-1; CD162; P-selectin glycoprotein ligand 1; SELPL; SELPLG
Human (QC Testing), Mouse (Reported)
Rat WI, also known as Wistar (outbred) IgM, κ
Lymphocyte-depleted Stromal Preparation of Tonsil
Flow cytometry (Routinely Tested), Immunohistochemistry-formalin (antigen retrieval required), Immunohistochemistry-frozen (Tested During Development)
250 µg/ml
V S075
AB_393667
Aqueous buffered solution containing BSA, goat serum, and ≤0.09% sodium azide.
RUO


推奨アッセイ手順

Immunohistochemistry: The HECA-452 antibody is recommended to test for immunohistochemical staining of acetone-fixed frozen sections and formalin-fixed paraffin sections with citrate pre-treatment. Tissue tested was human skin and tonsil. The antibody stains endothelial cells and epithelial cells. In the skin monocytic cells and some Langerhans cells were stained. The isotype control recommended for use with this antibody is purified rat IgM (Cat. No. 550342). For optimal indirect immunohistochemical staining, the HECA-452 antibody should be titrated (1:10 to 1:50 dilution) and visualized via a three-step staining procedure in combination with biotin conjugated anti-rat IgM (Cat. No. 550330) as the secondary antibody and Streptavidin-HRP (Cat. No. 550946) together with the DAB detection system (Cat. No. 550880).

Product Notices

  1. Since applications vary, each investigator should titrate the reagent to obtain optimal results.
  2. This antibody has been developed for the immunohistochemistry application. However, a routine immunohistochemistry test is not performed on every lot. Researchers are encouraged to titrate the reagent for optimal performance.
  3. Sodium azide is a reversible inhibitor of oxidative metabolism; therefore, antibody preparations containing this preservative agent must not be used in cell cultures nor injected into animals. Sodium azide may be removed by washing stained cells or plate-bound antibody or dialyzing soluble antibody in sodium azide-free buffer. Since endotoxin may also affect the results of functional studies, we recommend the NA/LE (No Azide/Low Endotoxin) antibody format, if available, for in vitro and in vivo use.
  4. Caution: Sodium azide yields highly toxic hydrazoic acid under acidic conditions. Dilute azide compounds in running water before discarding to avoid accumulation of potentially explosive deposits in plumbing.
  5. Source of all serum proteins is from USDA inspected abattoirs located in the United States.
  6. An isotype control should be used at the same concentration as the antibody of interest.
  7. Please refer to www.bdbiosciences.com/us/s/resources for technical protocols.
550407 Rev. 3
抗体の詳細
Down Arrow Up Arrow
HECA-452

The HECA-452 monoclonal antibody specifically reacts with Cutaneous Lymphocyte Associated Antigen (CLA), a carbohydrate domain shared by sialyl Lewis[x] (sLe[x]) and sialyl Lewis[a] (sLe[a]) antigens. It serves as a ligand for selectins including CD62E (E-selectin; ELAM-1). CLA is expressed on high endothelium and on lymphocytes including most T lymphocytes infiltrating cutaneous sites of inflammation. Amongst peripheral blood cells, it is expressed on monocytes and granulocytes and a subset of lymphocytes. The HECA-452 antibody is also reportedly crossreactive with the mouse CLA carbohydrate epitope that is transiently expressed by PSGL-1/CD162 on activated T cells. A number of studies suggest that CLA plays an important role in supporting leucocyte adhesive interactions and migration into extravascular tissues during inflammation.

550407 Rev. 3
フォーマットの詳細
Down Arrow Up Arrow
Purified
Tissue culture supernatant is purified by either protein A/G or affinity purification methods. Both methods yield antibody in solution that is free of most other soluble proteins, lipids, etc. This format provides pure antibody that is suitable for a number of downstream applications including: secondary labeling for flow cytometry or microscopy, ELISA, Western blot, etc.
Purified
550407 Rev.3
引用&参考文献
Down Arrow Up Arrow
View product citations for antibody "550407" on CiteAb

Development References (6)

  1. Borges E, Pendl G, Eytner R, Steegmaier M, Zollner O, Vestweber D. The binding of T cell-expressed P-selectin glycoprotein ligand-1 to E- and P-selectin is differentially regulated. J Biol Chem. 1997; 272(45):28786-28792. (Clone-specific: Flow cytometry, Immunoprecipitation, Western blot). View Reference
  2. Duijvestijn AM, Horst E, Pals ST, et al. High endothelial differentiation in human lymphoid and inflammatory tissues defined by monoclonal antibody HECA-452. Am J Pathol. 1988; 130(1):147-155. (Biology). View Reference
  3. Engel P, Wagner N, Tedder TF. CD86 Workshop Report. In: Schlossman SF. Stuart F. Schlossman .. et al., ed. Leucocyte typing V : white cell differentiation antigens : proceedings of the fifth international workshop and conference held in Boston, USA, 3-7 November, 1993. Oxford: Oxford University Press; 1995:703-705.
  4. Knapp W. W. Knapp .. et al., ed. Leucocyte typing IV : white cell differentiation antigens. Oxford New York: Oxford University Press; 1989:1-1182.
  5. Picker LJ, Kishimoto TK, Smith CW, Warnock RA, Butcher EC. ELAM-1 is an adhesion molecule for skin-homing T cells. Nature. 1991; 349(6312):796-799. (Biology). View Reference
  6. Picker LJ, Warnock RA, Burns AR, Doerschuk CM, Berg EL, Butcher EC. The neutrophil selectin LECAM-1 presents carbohydrate ligands to the vascular selectins ELAM-1 and GMP-140. Cell. 1991; 66(5):921-933. (Biology). View Reference
すべて表示する (6) 表示項目を減らす
550407 Rev. 3

Please refer to Support Documents for Quality Certificates

 

Global - Refer to manufacturer's instructions for use and related User Manuals and Technical data sheets before using this products as described

 

Comparisons, where applicable, are made against older BD Technology, manual methods or are general performance claims.  Comparisons are not made against non-BD technologies, unless otherwise noted.

For Research Use Only. Not for use in diagnostic or therapeutic procedures.