-
Reagents
- Flow Cytometry Reagents
-
Western Blotting and Molecular Reagents
- Immunoassay Reagents
-
Single-Cell Multiomics Reagents
- BD® OMICS-Guard Sample Preservation Buffer
- BD® AbSeq Assay
- BD® Single-Cell Multiplexing Kit
- BD Rhapsody™ ATAC-Seq Assays
- BD Rhapsody™ Whole Transcriptome Analysis (WTA) Amplification Kit
- BD Rhapsody™ TCR/BCR Next Multiomic Assays
- BD Rhapsody™ Targeted mRNA Kits
- BD Rhapsody™ Accessory Kits
- BD® OMICS-One Protein Panels
-
Functional Assays
-
Microscopy and Imaging Reagents
-
Cell Preparation and Separation Reagents
-
Dehydrated Culture Media
-
- BD® OMICS-Guard Sample Preservation Buffer
- BD® AbSeq Assay
- BD® Single-Cell Multiplexing Kit
- BD Rhapsody™ ATAC-Seq Assays
- BD Rhapsody™ Whole Transcriptome Analysis (WTA) Amplification Kit
- BD Rhapsody™ TCR/BCR Next Multiomic Assays
- BD Rhapsody™ Targeted mRNA Kits
- BD Rhapsody™ Accessory Kits
- BD® OMICS-One Protein Panels
- Canada (English)
-
Change country/language
Old Browser
Looks like you're visiting us from {countryName}.
Would you like to stay on the current country site or be switched to your country?
BD Pharmingen™ Purified Rat Anti-Mouse CD34
Clone RAM34 (RUO)
Identification of CD34+ and CD34- subpopulations of hematopoietic progenitors. BALB/C mouse bone marrow cells were incubated with either purified monoclonal antibody RAM34 (Cat. No. 553731, right panel) or purified rat IgG2a, κ isotype control (clone R35-95, Cat. No. 553927, left panel), followed by second step staining with FITC polyclonal goat-anti-rat Ig (Cat. No. 554016). Cells were washed and blocked with mouse Fc Block purified anti-CD16/CD32mAb (Cat. No. 553141/553142) and normal rat serum, followed by staining with APC Lineage Cocktail (Cat. No. 558074) to identify major lineage committed cells. The contour plots were derived from the gated events based on light scattering characteristics of leukocytes and fluorescence characteristics of the CD34 and Lineage markers . Flow cytometry was performed on a BD FACSCanto™ System.
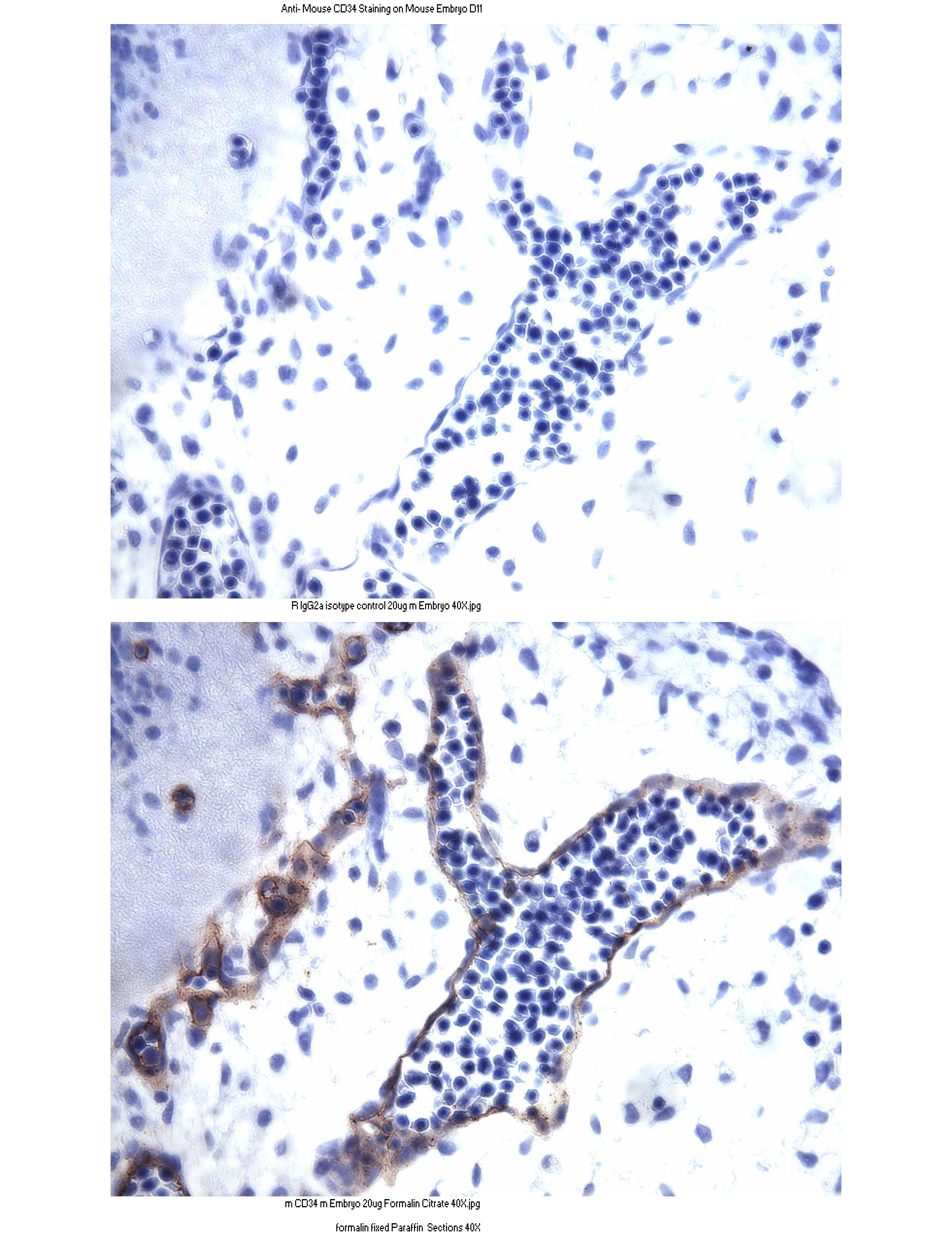
Immunohistochemistry application of CD34 antibody. Immunohistochemistry staining of anti-mouse CD34 antibody clone RAM34 on formalin fixed paraffin embedded mouse embryonic (day 11) tissue section with citrate buffer for antigen retrieval. The RAM34 antibody stains on endothelial cells of vessels and blood stem cells in vessels (lower panel) with isotype control (upper panel). The secondary antibody was used biotin polyclonal goat anti-rat IgG (Cat. No. 559286) and followed by Streptavidin -HRP (Cat. No. 550946), and DAB detection kit (Cat. No. 550880). Original amplification 40X.
Identification of CD34+ and CD34- subpopulations of hematopoietic progenitors. BALB/C mouse bone marrow cells were incubated with either purified monoclonal antibody RAM34 (Cat. No. 553731, right panel) or purified rat IgG2a, κ isotype control (clone R35-95, Cat. No. 553927, left panel), followed by second step staining with FITC polyclonal goat-anti-rat Ig (Cat. No. 554016). Cells were washed and blocked with mouse Fc Block purified anti-CD16/CD32mAb (Cat. No. 553141/553142) and normal rat serum, followed by staining with APC Lineage Cocktail (Cat. No. 558074) to identify major lineage committed cells. The contour plots were derived from the gated events based on light scattering characteristics of leukocytes and fluorescence characteristics of the CD34 and Lineage markers . Flow cytometry was performed on a BD FACSCanto™ System.
Immunohistochemistry application of CD34 antibody. Immunohistochemistry staining of anti-mouse CD34 antibody clone RAM34 on formalin fixed paraffin embedded mouse embryonic (day 11) tissue section with citrate buffer for antigen retrieval. The RAM34 antibody stains on endothelial cells of vessels and blood stem cells in vessels (lower panel) with isotype control (upper panel). The secondary antibody was used biotin polyclonal goat anti-rat IgG (Cat. No. 559286) and followed by Streptavidin -HRP (Cat. No. 550946), and DAB detection kit (Cat. No. 550880). Original amplification 40X.
Identification of CD34+ and CD34- subpopulations of hematopoietic progenitors. BALB/C mouse bone marrow cells were incubated with either purified monoclonal antibody RAM34 (Cat. No. 553731, right panel) or purified rat IgG2a, κ isotype control (clone R35-95, Cat. No. 553927, left panel), followed by second step staining with FITC polyclonal goat-anti-rat Ig (Cat. No. 554016). Cells were washed and blocked with mouse Fc Block purified anti-CD16/CD32mAb (Cat. No. 553141/553142) and normal rat serum, followed by staining with APC Lineage Cocktail (Cat. No. 558074) to identify major lineage committed cells. The contour plots were derived from the gated events based on light scattering characteristics of leukocytes and fluorescence characteristics of the CD34 and Lineage markers . Flow cytometry was performed on a BD FACSCanto™ System.
Immunohistochemistry application of CD34 antibody. Immunohistochemistry staining of anti-mouse CD34 antibody clone RAM34 on formalin fixed paraffin embedded mouse embryonic (day 11) tissue section with citrate buffer for antigen retrieval. The RAM34 antibody stains on endothelial cells of vessels and blood stem cells in vessels (lower panel) with isotype control (upper panel). The secondary antibody was used biotin polyclonal goat anti-rat IgG (Cat. No. 559286) and followed by Streptavidin -HRP (Cat. No. 550946), and DAB detection kit (Cat. No. 550880). Original amplification 40X.
Regulatory Status Legend
Any use of products other than the permitted use without the express written authorization of Becton, Dickinson and Company is strictly prohibited.
Preparation And Storage
Product Notices
- Since applications vary, each investigator should titrate the reagent to obtain optimal results.
- An isotype control should be used at the same concentration as the antibody of interest.
- Caution: Sodium azide yields highly toxic hydrazoic acid under acidic conditions. Dilute azide compounds in running water before discarding to avoid accumulation of potentially explosive deposits in plumbing.
- Sodium azide is a reversible inhibitor of oxidative metabolism; therefore, antibody preparations containing this preservative agent must not be used in cell cultures nor injected into animals. Sodium azide may be removed by washing stained cells or plate-bound antibody or dialyzing soluble antibody in sodium azide-free buffer. Since endotoxin may also affect the results of functional studies, we recommend the NA/LE (No Azide/Low Endotoxin) antibody format, if available, for in vitro and in vivo use.
- Please refer to www.bdbiosciences.com/us/s/resources for technical protocols.
Companion Products
The RAM34 monoclonal antibody specifically binds to the CD34 glycoprotein on the surface of three independently derived mouse CD34-transfected cell lines. RAM34 antibody also reacts with the mouse cell lines PA6, 416B, Swiss 3T6, NIH, 3T3, DA1, and M1, all of which are positive for expression of mouse CD34 mRNA. Cell lines shown to be negative for CD34 mRNA transcript, including WEHI-3B, EL4, 18.8, and CMT64/61, are also negative for surface expression of CD34 as determined by RAM34 staining. Normal thymocytes and splenocytes are negative for CD34 expression. In the bone marrow, 7-10% of cells are stained with the RAM34 antibody, including most of the Ly-6A/E (Sca-1)+ CD90 (Thy-1)low Lineage Marker- hematopoietic stem cell-enriched subpopulation and myeloerythroid progenitors. CD34 is also expressed on a small percentage of fetal liver cells, including NK-cell progenitors. CD34 has been reported to be expressed on the endothelium of capillaries and, in this form, to function as a ligand for L-selectin. Consistent with this observation, RAM34 antibody stains endothelial cells in spleen, thymus, and postcapillary HEVs in the lymph nodes. It is reported that RAM34 antibody can be used to select CD34+ CD117 (c-Kit)+ Ly-6A/E (Sca-1)+ Lineage Marker- bone marrow-derived hematopoietic stem cells, capable of short-term multi-lineage reconstitution of lethally irradiated mice. In contrast, the CD34- CD117+ Sca-1+ Lineage Marker- population contains self-renewing hematopoietic stem cells. Similarly, the bone marrow population with high dye-efflux capacity and highly enriched for long-term reconstituting hematopoietic stem cells, is CD34- CD117 (c-Kit)+ Ly-6A/E (Sca-1)+ Lineage Marker-.
Development References (11)
-
Akashi K, Traver D, Miyamoto T, Weissman IL. A clonogenic common myeloid progenitor that gives rise to all myeloid lineages. Nature. 2000; 404(6774):193-197. (Clone-specific: Flow cytometry). View Reference
-
Baumheter S, Singer MS, Henzel W, et al. Binding of L-selectin to the vascular sialomucin CD34. Science. 1993; 262(5132):436-438. (Biology). View Reference
-
Brown J, Greaves MF, Molgaard HV. The gene encoding the stem cell antigen, CD34, is conserved in mouse and expressed in haemopoietic progenitor cell lines, brain, and embryonic fibroblasts. Int Immunol. 1991; 3(2):175-184. (Biology). View Reference
-
Goodell MA, Rosenzweig M, Kim H, et al. Dye efflux studies suggest that hematopoietic stem cells expressing low or undetectable levels of CD34 antigen exist in multiple species. Nat Med. 1997; 3(12):1337-1345. (Clone-specific: Flow cytometry). View Reference
-
Lorenz K, Grashoff C, Torka R, et al. Integrin-linked kinase is required for epidermal and hair follicle morphogenesis. J Cell Biol. 2007; 177(3):501-513. (Biology: Immunofluorescence, Immunohistochemistry). View Reference
-
Lu J, Patrene KD, Herberman RB, Boggs SS. Expression of murine CD34 by fetal liver NK cell progenitors. Exp Hematol. 1999; 27(2):272-281. (Clone-specific: Flow cytometry, Fluorescence activated cell sorting). View Reference
-
Morel F, Szilvassy SJ, Travis M, Chen B, Galy A. Primitive hematopoietic cells in murine bone marrow express the CD34 antigen. Blood. 1996; 88(10):3774-3784. (Clone-specific: Flow cytometry, Fluorescence activated cell sorting). View Reference
-
Osawa M, Hanada K, Hamada H, Nakauchi H. Long-term lymphohematopoietic reconstitution by a single CD34-low/negative hematopoietic stem cell. Science. 1996; 273(5272):242-245. (Immunogen: Flow cytometry). View Reference
-
Spangrude GJ, Heimfeld S, Weissman IL. Purification and characterization of mouse hematopoietic stem cells. Science. 1988; 241(4861):58-62. (Biology). View Reference
-
Suda J, Sudo T, Ito M, Ohno N, Yamaguchi Y, Suda T. Two types of murine CD34 mRNA generated by alternative splicing. Blood. 1992; 79(9):2288-2295. (Biology). View Reference
-
Suzuki A, Andrew DP, Gonzalo JA, et al. CD34-deficient mice have reduced eosinophil accumulation after allergen exposure and show a novel crossreactive 90-kD protein. Blood. 1996; 87(9):3550-3562. (Clone-specific: Immunoaffinity chromatography, Immunohistochemistry, Immunoprecipitation). View Reference
Please refer to Support Documents for Quality Certificates
Global - Refer to manufacturer's instructions for use and related User Manuals and Technical data sheets before using this products as described
Comparisons, where applicable, are made against older BD Technology, manual methods or are general performance claims. Comparisons are not made against non-BD technologies, unless otherwise noted.
For Research Use Only. Not for use in diagnostic or therapeutic procedures.