Skip to main content Skip to navigation
Purified Rat Anti-Substance P
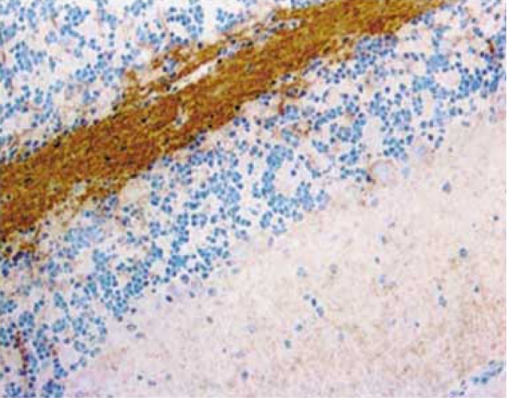
60091A_556312_image1.png

Paraformaldehyde-fixed, frozen tissue section of rat cerebellum stained for Substance P (mAb NC1/34) using a DAB Chromogen and Hematoxylin counterstain. Arrows indicate staining of nerve fibers.

Paraformaldehyde-fixed, frozen tissue section of rat cerebellum stained for Substance P (mAb NC1/34) using a DAB Chromogen and Hematoxylin counterstain. Arrows indicate staining of nerve fibers.

Product Details
Down Arrow Up Arrow


BD Pharmingen™
Rat (QC Testing), Pigeon (Tested in Development)
Rat IgG2a
Substance P conjugated to carrier protein
Immunohistochemistry-formalin (antigen retrieval required) (Routinely Tested), Electron microscopy, Radioimmunoassay (Reported)
15 kDa
0.5 mg/ml
AB_396357
Aqueous buffered solution containing ≤0.09% sodium azide.
RUO


Preparation And Storage

The monoclonal antibody was purified from tissue culture supernatant or ascites by affinity chromatography. Store undiluted at 4°C.

Product Notices

  1. Please refer to www.bdbiosciences.com/us/s/resources for technical protocols.
  2. Since applications vary, each investigator should titrate the reagent to obtain optimal results.
  3. Caution: Sodium azide yields highly toxic hydrazoic acid under acidic conditions. Dilute azide compounds in running water before discarding to avoid accumulation of potentially explosive deposits in plumbing.
556312 Rev. 7
Antibody Details
Down Arrow Up Arrow
NC1/34

Peptides with transmitter-like characteristics are found in many areas of the brain, and may cause inhibition, excitation or both when applied to target neurons. These peptides are synthesized as secretory products and grouped into families according structural and functional similarity. Substance P, a member of the tachykinin family, is thought to play a role in nociceptive transmission in the dorsal horn of the spinal cord. Its proposed role is based on a number of anatomical and physiological findings. For example, substance P is present in high concentration in a subpopulation of fine-diameter primary sensory axons and in nerve terminals in dorsal horn regions where primary sensory nociceptors terminate. It specifically excites nociceptive dorsal horn and is released in the spinal cord in vivo during activation of nociceptive primary sensory fibers. Additionally, substance P receptor antagonists have been shown to block nociceptive responses in vivo and in vivo.

NC1/34 is specific for substance P. It reacts with mammalian substance P and has been shown to also cross-react with a substance P-like protein in the pigeon brain. It binds to subpopulations of nerve terminals and cell bodies in the central nervous system. The initial characterization of the antibody was in rat brain. The antibody does not cross-react with other mammalian brain peptides tested including [Leu]enkephalin, [Met]enkephalin, somatostatin, or β-endorphin. NC1/34 recognizes an epitope in the carboxy terminal region of substance P and thus does not differentiate substance P from neurokinins A and B. Substance P conjugated to carrier protein was used as immunogen.

556312 Rev. 7
Format Details
Down Arrow Up Arrow
Purified
Tissue culture supernatant is purified by either protein A/G or affinity purification methods. Both methods yield antibody in solution that is free of most other soluble proteins, lipids, etc. This format provides pure antibody that is suitable for a number of downstream applications including: secondary labeling for flow cytometry or microscopy, ELISA, Western blot, etc.
Purified
556312 Rev.7
Citations & References
Down Arrow Up Arrow
View product citations for antibody "556312" on CiteAb

Development References (7)

  1. Cuello AC, Galfre G, Milstein C. Detection of substance P in the central nervous system by a monoclonal antibody. Proc Natl Acad Sci U S A. 1979; 76(7):3532-3536. (Immunogen: Immunohistochemistry, Radioimmunoassay). View Reference
  2. Cuello AC, Milstein C, Galfre G. Preparation and application of monoclonal antibodies for immunohistochemistry and immunocytochemistry. In: Cuello AC, ed. Immunohistochemistry. Chichester: Wiley; 1983:215-256.
  3. Cuello AC, Priestley JV, Milstein C. Immunocytochemistry with internally labeled monoclonal antibodies. Proc Natl Acad Sci U S A. 1982; 79(2):665-669. (Clone-specific: Electron microscopy, Immunohistochemistry). View Reference
  4. De Koninck Y, Ribeiro-da-Silva A, Henry JL, Cuello AC. Spinal neurons exhibiting a specific nociceptive response receive abundant substance P-containing synaptic contacts. Proc Natl Acad Sci U S A. 1992; 89(11):5073-5077. (Biology). View Reference
  5. Del Fiacco M, Cuello AC. Substance P- and enkephalin-containing neurones in the rat trigeminal system. Neuroscience. 1980; 5(4):803-815. (Clone-specific: Immunohistochemistry). View Reference
  6. Ribeiro-da-Silva A, Pioro EP, Cuello AC. Substance P- and enkephalin-like immunoreactivities are colocalized in certain neurons of the substantia gelatinosa of the rat spinal cord: an ultrastructural double-labeling study. J Neurosci. 1991; 11(4):1068-1080. (Clone-specific: Electron microscopy). View Reference
  7. Ribeiro-da-Silva A, Tagari P, Cuello AC. Morphological characterization of substance P-like immunoreactive glomeruli in the superficial dorsal horn of the rat spinal cord and trigeminal subnucleus caudalis: a quantitative study. J Comp Neurol. 1989; 281(4):497-515. (Biology). View Reference
View All (7) View Less
556312 Rev. 7

Please refer to Support Documents for Quality Certificates

 

Global - Refer to manufacturer's instructions for use and related User Manuals and Technical data sheets before using this products as described

 

Comparisons, where applicable, are made against older BD Technology, manual methods or are general performance claims.  Comparisons are not made against non-BD technologies, unless otherwise noted.

For Research Use Only. Not for use in diagnostic or therapeutic procedures.