Skip to main content Skip to navigation
Purified Mouse Anti-Human CD44
74751E_550392_image1.png

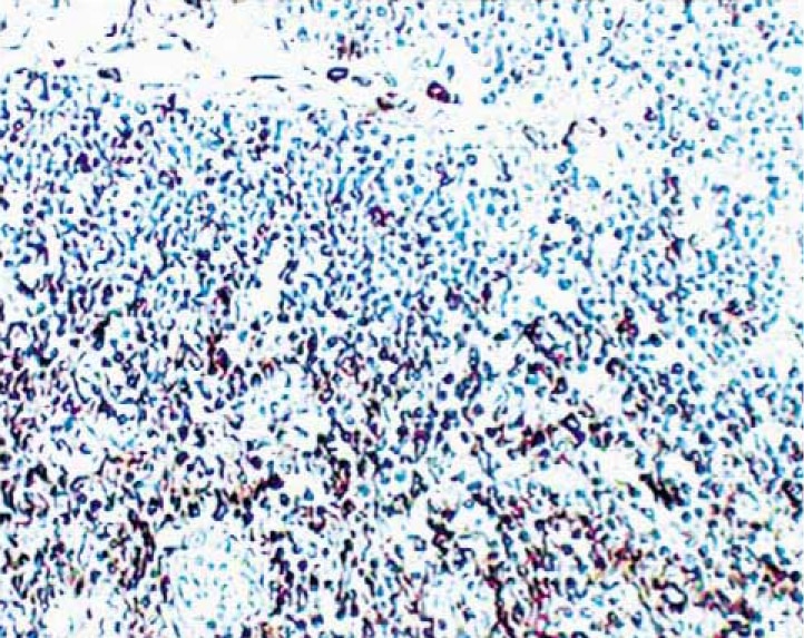
Immunohistochemical staining of CD44+ cells. Paraffin sections of normal human thymus were reacted with Purified Mouse Anti-Human CD44 G44-26 (Cat. No. 550392) antibody. Thymocytes can be identified by the brown labeling of their cell surface membranes. Amplification 20X.

Immunohistochemical staining of CD44+ cells. Paraffin sections of normal human thymus were reacted with Purified Mouse Anti-Human CD44 G44-26 (Cat. No. 550392) antibody. Thymocytes can be identified by the brown labeling of their cell surface membranes. Amplification 20X.

Product Details
Down Arrow Up Arrow


BD Pharmingen™
Phagocytic glycoprotein 1; Pgp-1; H-CAM; Hermes; ECMR III; HUTCH-1
Human (QC Testing)
Mouse IgG2b, κ
Flow cytometry (Routinely Tested), Immunohistochemistry-formalin (antigen retrieval required), Immunohistochemistry-frozen (Tested During Development)
250 µg/ml
VI A092
AB_2074674
Aqueous buffered solution containing BSA, goat serum, and ≤0.09% sodium azide.
RUO


Preparation And Storage

Store undiluted at 4°C. The monoclonal antibody was purified from tissue culture supernatant or ascites by affinity chromatography.

Recommended Assay Procedures

Immunohistochemistry: The G44-26 antibody is recommended to test for immunohistochemical staining of acetone-fixed frozen sections and formalin-fixed paraffin sections with citrate pre-treatment. Tissues tested were human spleen, thymus and tonsil. The antibody stains thymocytes, leukocytes, erythrocytes and weakly on platelets. The isotype control recommended for use with this antibody is purified mouse IgG2b (Cat. No. 557351). For optimal indirect immunohistochemical staining, the G44-26 antibody should be titrated (1:10 to 1:50 dilution) and visualized via a three-step staining procedure in combination with polyclonal, biotin conjugated anti-mouse Igs (multiple adsorbed) (Cat. No. 550337) as the secondary antibody and Streptavidin-HRP (Cat. No. 550946) together with the DAB detection system (Cat. No. 550880). A detailed protocol of the immunohistochemical procedure is available on our website at http://www.bdbiosciences.com/us/s/resources.

Product Notices

  1. Since applications vary, each investigator should titrate the reagent to obtain optimal results.
  2. An isotype control should be used at the same concentration as the antibody of interest.
  3. Source of all serum proteins is from USDA inspected abattoirs located in the United States.
  4. Caution: Sodium azide yields highly toxic hydrazoic acid under acidic conditions. Dilute azide compounds in running water before discarding to avoid accumulation of potentially explosive deposits in plumbing.
  5. This antibody has been developed for the immunohistochemistry application. However, a routine immunohistochemistry test is not performed on every lot. Researchers are encouraged to titrate the reagent for optimal performance.
  6. Sodium azide is a reversible inhibitor of oxidative metabolism; therefore, antibody preparations containing this preservative agent must not be used in cell cultures nor injected into animals. Sodium azide may be removed by washing stained cells or plate-bound antibody or dialyzing soluble antibody in sodium azide-free buffer. Since endotoxin may also affect the results of functional studies, we recommend the NA/LE (No Azide/Low Endotoxin) antibody format, if available, for in vitro and in vivo use.
  7. Please refer to www.bdbiosciences.com/us/s/resources for technical protocols.
550392 Rev. 3
Antibody Details
Down Arrow Up Arrow
G44-26

The G44-26 monoclonal antibody specifically binds to the 80-95 kDa glycosylated type I transmembrane protein, CD44, also known as phagocytic glycoprotein-1 (Pgp-1). CD44 is the receptor for hyaluronic acid. CD44 is expressed on leucocytes, erythrocytes, epithelial cells and weakly on platelets. CD44 is also called extracellular matrix receptor type III and has functional roles in cell migration, lymphocyte homing and adhesion during hematopoiesis and lymphocyte activation. This antibody recognizes epitope 1 of CD44 antigen according to the HLDA workshop studies.

550392 Rev. 3
Format Details
Down Arrow Up Arrow
Purified
Tissue culture supernatant is purified by either protein A/G or affinity purification methods. Both methods yield antibody in solution that is free of most other soluble proteins, lipids, etc. This format provides pure antibody that is suitable for a number of downstream applications including: secondary labeling for flow cytometry or microscopy, ELISA, Western blot, etc.
Purified
550392 Rev.3
Citations & References
Down Arrow Up Arrow
View product citations for antibody "550392" on CiteAb

Development References (5)

  1. Galandrini R, Galluzzo E, Albi N, Grossi CE, Velardi A. Hyaluronate is costimulatory for human T cell effector functions and binds to CD44 on activated T cells. J Immunol. 1994; 153(1):21-31. (Biology). View Reference
  2. Günthert U. CD44: a multitude of isoforms with diverse functions. Curr Top Microbiol Immunol. 1993; 184:47-63. (Biology). View Reference
  3. Patel DD, Liao HX, Haynes BF. CD44 workshop panel report. In: Kishimoto T. Tadamitsu Kishimoto .. et al., ed. Leucocyte typing VI : white cell differentiation antigens : proceedings of the sixth international workshop and conference held in Kobe, Japan, 10-14 November 1996. New York: Garland Pub.; 1997:373-375.
  4. Schlossman SF. Stuart F. Schlossman .. et al., ed. Leucocyte typing V : white cell differentiation antigens : proceedings of the fifth international workshop and conference held in Boston, USA, 3-7 November, 1993. Oxford: Oxford University Press; 1995.
  5. Stamenkovic I, Amiot M, Pesando JM, Seed B. A lymphocyte molecule implicated in lymph node homing is a member of the cartilage link protein family. Cell. 1989; 56(6):1057-1062. (Biology). View Reference
View All (5) View Less
550392 Rev. 3

 

Please refer to Support Documents for Quality Certificates


Global - Refer to manufacturer's instructions for use and related User Manuals and Technical data sheets before using this products as described


Comparisons, where applicable, are made against older BD Technology, manual methods or are general performance claims.  Comparisons are not made against non-BD technologies, unless otherwise noted.

Please refer to Support Documents for Quality Certificates

 

Global - Refer to manufacturer's instructions for use and related User Manuals and Technical data sheets before using this products as described

 

Comparisons, where applicable, are made against older BD Technology, manual methods or are general performance claims.  Comparisons are not made against non-BD technologies, unless otherwise noted.

For Research Use Only. Not for use in diagnostic or therapeutic procedures.